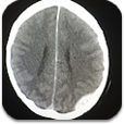
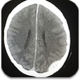
Here we discuss how to retrieve patients with neurological and neurosurgical emergencies. We present a case of a young male with subarachnoid haemorrhage, and discuss how we can optimise neuroprotection by considering the needs of a healthily functioning neuron. The Neuroprotection Helicopter Operating Procedure is reviewed.
Links:
